Az izzadásról
Szervezetünk egyensúlyának fenntartásában fontos szerepe van az izzadásnak. Elsődleges funkciója, hogy a verejték elpárologtatása révén hűtse szervezetünket, biztosítva annak az állandó, normál hőmérsékletét. Emellett az izzadás fontos eleme szervezetünk védelmi rendszerének, a verejtékezés által a bőrfelszínre jutó anyagok a fertőzések bőrön át való bejutását gátolják. Harmadik, szintén fontos szerepe, hogy részt vesz a szervezetünk só- és vízháztartásának szabályozásában. Ezen túlmenően az izzadás során mérgek is távoznak szervezetünkből, így fontos méregtelenítő funkcióval is bír.
A fentiek miatt minden ember izzad, de egyes esetekben az izzadás olyan mértékű vagy olyan összetételű, ami a fenti élettani funkciók ellátásához már nem szükséges, ezzel szemben az életminőségünket jelentősen rontó, kellemetlen és kényelmetlen állapot.
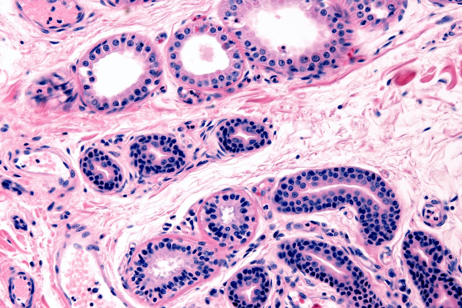
Az emberi szervezetben kétféle verejtékmirigy található. Az egyik fajta verejtékmirigyünk az eccrin mirigy, ez sós – normál esetben víztiszta – verejtéket termel, és hő hatására indul be a működésük. A másik típus az apocrin verejtékmirigy, ami a tejmirigyek rokona. Utóbbiak a hónaljban, az emlőbimbó körül és a gáttájékon találhatók. A pubertás idején kezdik meg működésüket, és elhelyezkedésüktől függően – gyakran kellemetlen szagú, vagy gyorsan azzá váló, feromonokat tartalmazó váladékot termelnek. Elsősorban különböző izgalmi hatásokra indul be a működésük, a hő nem befolyásolja őket.

Apocrin mirigyek (fent) és eccrin mirigyek (lent) emberi bőrszövet mikroszkópos keresztmetszeti képén. Jól látható különbség az apocrin mirigyekben termelődő bőséges váladék, ez okozhatja az erős izzadságszagot


























